Premi INVIO per cercare o ESC per uscire

Media Hub
Un grande Team per una grande realtà

Ortodonzia ed estetica Invisalign, apparecchio trasparente

Intervento realizzato da: Dott.ssa Paola Daina
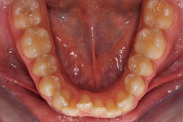
Paziente 29 anni, vuole risolvere il disallineamento inferiore senza però mettere l’apparecchio fisso vestibolare.

E’ stata curata con Invisalign sia all’arcata superiore che all’arcata inferiore, per 1 anno e 4 mesi.