Premi INVIO per cercare o ESC per uscire

Media Hub
Un grande Team per una grande realtà

Ortodonzia ed estetica

Intervento realizzato da: Dott.ssa Paola Daina
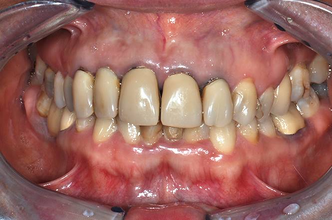
Paziente 46 anni,  è arrivata presso il centro per rivedere i denti superiori perché esteticamente non soddisfacenti.

Dopo attenta analisi abbiamo fatto notare alla paziente che anche il disallineamento, il colore e la forma dei denti inferiori contribuivano a peggiorarne l’estetica, soprattutto durante l’eloquio.