Premi INVIO per cercare o ESC per uscire

Media Hub
Un grande Team per una grande realtà

Ortodonzia ed estetica

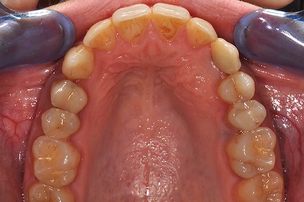
Intervento realizzato da: Dott.ssa Paola Daina
Paziente 28 anni con morso profondo e affollamento inferiore importante, canino superiore di sn (2.3) incluso con presenza del canino da latte. Il piano di trattamento ha previsto il trattamento ortodontico multibrackets con estrazione del canino incluso, estrazione del canino da latte e posizionamento dell’impianto in sede del canino mancante. A rimozione dell’apparecchiatura è stato posizionato un provvisorio per condizionare i tessuti molli.