Premi INVIO per cercare o ESC per uscire

Media Hub
Un grande Team per una grande realtà

Ortodonzia ed estetica

Intervento realizzato da: Dott.ssa Paola Daina
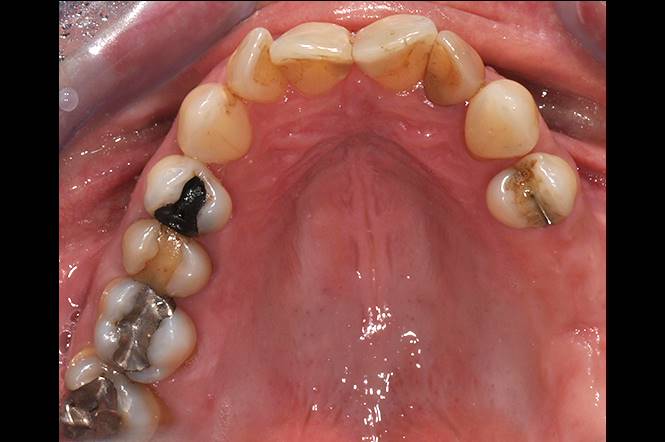
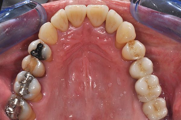
Paziente: 50 anni, fumatrice. Dopo trattamento parodontale ha deciso di rivedere completamente la situazione intraorale. Dopo trattamento di rigenerativa per permettere il posizionamento di impianti nel II quadrante (in alto a sinistra) è stato posizionato per 11 mesi circa l’apparecchio fisso alla sola arcata superiore.
Sono state eseguite sei corone in disilicato di litio da canino a canino per migliorare forma e colore degli elementi frontali.