Il Centro
La Storia
Filosofia
Perchè sceglierci
La Clinica
Il Laboratorio
Corsi e convegni
Joe Brush
Progetti - Noi per voi
Primo soccorso odontoiatrico
Per i pazienti
Per le cliniche
Per le farmacie
Team
Famiglia Daina
Medici Odontoiatri
Altri professionisti
Igienisti Dentali
Odontotecnici
Assistenti dentali
Amministrazione
Segreteria
Manutenzione
Pulizie
Servizio clienti
Contattaci
Distributore IFarma
Come raggiungerci
Richiedi appuntamento
Lavora con noi
Servizi
Pedodonzia
Ortodonzia
Ortodonzia invisibile invisalign
Implantologia dentale
Implantologia dentale a carico immediato
Chirurgia ossea rigenerativa
Chirurgia orale
Anestesia totale
Sedazione cosciente
Parodontologia
Chirurgia parodontale
Odontoiatria estetica
Protesi dentali mobili
Protesi dentali fisse
Odontoiatria digitale
Igiene orale
Odontoiatria conservativa
Endodonzia
Gnatologia
Logopedia
Nutrizione e alimentazione
Indagini radiografiche digitali
Fisioterapia
Media Hub
+39 035 521049
Centro Daina
Il Centro
La Storia
Filosofia
Perchè sceglierci
La Clinica
Il Laboratorio
Corsi e convegni
Joe Brush
Progetti - Noi per voi
Primo soccorso odontoiatrico
Per i pazienti
Per le cliniche
Per le farmacie
Team
Famiglia Daina
Medici Odontoiatri
Altri professionisti
Igienisti Dentali
Odontotecnici
Assistenti dentali
Amministrazione
Segreteria
Manutenzione
Pulizie
Servizio clienti
Contattaci
Distributore IFarma
Come raggiungerci
Richiedi appuntamento
Lavora con noi
Servizi
Servizi
Pedodonzia
Ortodonzia
Ortodonzia invisibile invisalign
Implantologia dentale
Implantologia dentale a carico immediato
Chirurgia ossea rigenerativa
Chirurgia orale
Anestesia totale
Sedazione cosciente
Parodontologia
Chirurgia parodontale
Odontoiatria estetica
Protesi dentali mobili
Protesi dentali fisse
Odontoiatria digitale
Igiene orale
Odontoiatria conservativa
Endodonzia
Gnatologia
Logopedia
Nutrizione e alimentazione
Indagini radiografiche digitali
Fisioterapia
Media Hub
Premi
INVIO
per cercare o
ESC
per uscire
Media Hub
Un grande Team per una grande realtà
Home
Eventi
Area Medica
Media
Media Hub
>
Area Medica
>
Chirurgia Ossea Rigenerativa
>
Rimozione impianti integrati e rigenerativa ossea verticale
Rimozione impianti integrati e rigenerativa ossea verticale
Intervento realizzato da:
Dott. Stefano Daina
Visione occlusale arcata mandibolare: si noti la testa degli impianti
Visione laterale: si noti la grave perdita d’osso (atrofia ossea verticale)
OPT INIZIALE 23.11.2012 Impianti inutilizzabili per la frattura della vite protesica
Cresta ossea con esposizione del corpo implantare impianti inutilizzabili per frattura vite protesica e filettatura interna alla testa dell’impianto
Rimozione degli impianti con fresa carotatrice
Impianti rimossi
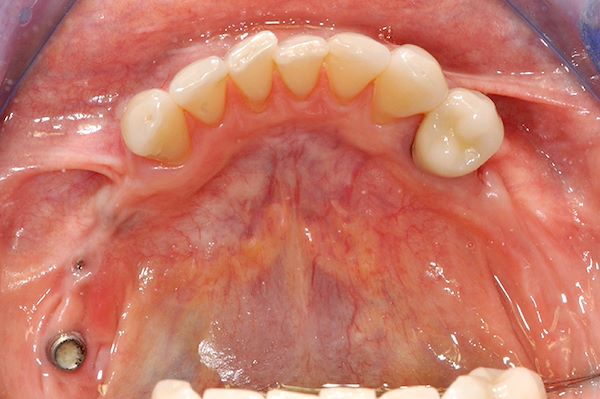
Visione occlusale: guarigione avvenuta dopo 3 mesi dalla rimozione degli impianti
Visione laterale: guarigione avvenuta dopo 3 mesi dalla rimozione degli impianti; si noti la severa atrofia ossea verticale (mancanza d’osso)
OPT 08.03.2013 Si noti l’importante atrofia ossea verticale mandibolare (l’osso si presenta a forma di mezzaluna)
OPT 05.04.2013 Posizionamento di 3 impianti e contemporanea rigenerativa verticale con membrana rinforzata in titanio (GBR verticale)
OPT 30.08.2013 Si nota l’avvenuta rigenerativa ossea verticale ed il nuovo volume osseo ottenuto
precedente:
Rigenerativa ossea verticale mandibolare
successivo:
Rigenerativa ossea verticale mandibolare con inserimento 3 impianti
Chirurgia Ossea Rigenerativa