Il Centro
La Storia
Filosofia
Perchè sceglierci
La Clinica
Il Laboratorio
Corsi e convegni
Joe Brush
Progetti - Noi per voi
Primo soccorso odontoiatrico
Per i pazienti
Per le cliniche
Per le farmacie
Team
Famiglia Daina
Medici Odontoiatri
Altri professionisti
Igienisti Dentali
Odontotecnici
Assistenti dentali
Amministrazione
Segreteria
Manutenzione
Pulizie
Servizio clienti
Contattaci
Distributore IFarma
Come raggiungerci
Richiedi appuntamento
Lavora con noi
Servizi
Pedodonzia
Ortodonzia
Ortodonzia invisibile invisalign
Implantologia dentale
Implantologia dentale a carico immediato
Chirurgia ossea rigenerativa
Chirurgia orale
Anestesia totale
Sedazione cosciente
Parodontologia
Chirurgia parodontale
Odontoiatria estetica
Protesi dentali mobili
Protesi dentali fisse
Odontoiatria digitale
Igiene orale
Odontoiatria conservativa
Endodonzia
Gnatologia
Logopedia
Nutrizione e alimentazione
Indagini radiografiche digitali
Fisioterapia
Media Hub
+39 035 521049
Centro Daina
Il Centro
La Storia
Filosofia
Perchè sceglierci
La Clinica
Il Laboratorio
Corsi e convegni
Joe Brush
Progetti - Noi per voi
Primo soccorso odontoiatrico
Per i pazienti
Per le cliniche
Per le farmacie
Team
Famiglia Daina
Medici Odontoiatri
Altri professionisti
Igienisti Dentali
Odontotecnici
Assistenti dentali
Amministrazione
Segreteria
Manutenzione
Pulizie
Servizio clienti
Contattaci
Distributore IFarma
Come raggiungerci
Richiedi appuntamento
Lavora con noi
Servizi
Servizi
Pedodonzia
Ortodonzia
Ortodonzia invisibile invisalign
Implantologia dentale
Implantologia dentale a carico immediato
Chirurgia ossea rigenerativa
Chirurgia orale
Anestesia totale
Sedazione cosciente
Parodontologia
Chirurgia parodontale
Odontoiatria estetica
Protesi dentali mobili
Protesi dentali fisse
Odontoiatria digitale
Igiene orale
Odontoiatria conservativa
Endodonzia
Gnatologia
Logopedia
Nutrizione e alimentazione
Indagini radiografiche digitali
Fisioterapia
Media Hub
Premi
INVIO
per cercare o
ESC
per uscire
Media Hub
Un grande Team per una grande realtà
Home
Eventi
Area Medica
Media
Media Hub
>
Area Medica
>
Conservativa
>
Ricostruzione post endodontica a ricopertura cuspidale totale diretta
Ricostruzione post endodontica a ricopertura cuspidale totale diretta
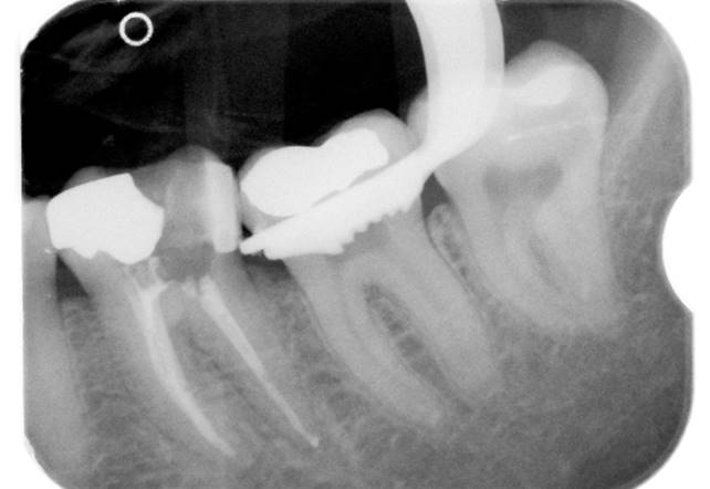
Rx 1: immagine pre-operatoria che rivela l’infiltrazione distale dell’otturazione pre-esistente responsabile dell’infiammazione pulpare
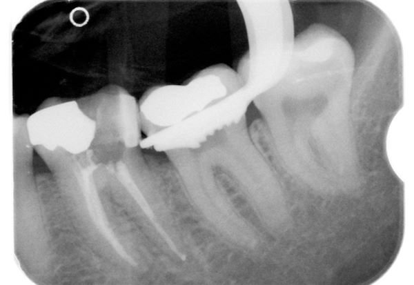
Rx 2: radiografia intraoperatoria di controllo della chiusura canalare
Elemento 36 gravemente compromesso, si può notare l’esiguità della struttura dentale sana residua a terapia canalare terminata
La presenza di pareti residue molto sottili rende necessaria la protezione delle cuspidi per ridurre il rischio di frattura
Particolare della riduzione cuspidale effettuata
Elemento 36 ricostruito tramite otturazione diretta
Particolare dell’anatomia cuspidale riprodotta
precedente:
Otturazione caso 47
successivo:
Sostituzione amalgama causa infiltrazione cariosa
Conservativa