Il Centro
La Storia
Filosofia
Perchè sceglierci
La Clinica
Il Laboratorio
Corsi e convegni
Joe Brush
Progetti - Noi per voi
Primo soccorso odontoiatrico
Per i pazienti
Per le cliniche
Per le farmacie
Team
Famiglia Daina
Medici Odontoiatri
Altri professionisti
Igienisti Dentali
Odontotecnici
Assistenti dentali
Amministrazione
Segreteria
Manutenzione
Pulizie
Servizio clienti
Contattaci
Distributore IFarma
Come raggiungerci
Richiedi appuntamento
Lavora con noi
Servizi
Pedodonzia
Ortodonzia
Ortodonzia invisibile invisalign
Implantologia dentale
Implantologia dentale a carico immediato
Chirurgia ossea rigenerativa
Chirurgia orale
Anestesia totale
Sedazione cosciente
Parodontologia
Chirurgia parodontale
Odontoiatria estetica
Protesi dentali mobili
Protesi dentali fisse
Odontoiatria digitale
Igiene orale
Odontoiatria conservativa
Endodonzia
Gnatologia
Logopedia
Nutrizione e alimentazione
Indagini radiografiche digitali
Fisioterapia
Media Hub
+39 035 521049
Centro Daina
Il Centro
La Storia
Filosofia
Perchè sceglierci
La Clinica
Il Laboratorio
Corsi e convegni
Joe Brush
Progetti - Noi per voi
Primo soccorso odontoiatrico
Per i pazienti
Per le cliniche
Per le farmacie
Team
Famiglia Daina
Medici Odontoiatri
Altri professionisti
Igienisti Dentali
Odontotecnici
Assistenti dentali
Amministrazione
Segreteria
Manutenzione
Pulizie
Servizio clienti
Contattaci
Distributore IFarma
Come raggiungerci
Richiedi appuntamento
Lavora con noi
Servizi
Servizi
Pedodonzia
Ortodonzia
Ortodonzia invisibile invisalign
Implantologia dentale
Implantologia dentale a carico immediato
Chirurgia ossea rigenerativa
Chirurgia orale
Anestesia totale
Sedazione cosciente
Parodontologia
Chirurgia parodontale
Odontoiatria estetica
Protesi dentali mobili
Protesi dentali fisse
Odontoiatria digitale
Igiene orale
Odontoiatria conservativa
Endodonzia
Gnatologia
Logopedia
Nutrizione e alimentazione
Indagini radiografiche digitali
Fisioterapia
Media Hub
Premi
INVIO
per cercare o
ESC
per uscire
Media Hub
Un grande Team per una grande realtà
Home
Eventi
Area Medica
Media
Media Hub
>
Area Medica
>
Protesi
>
Riabilitazione sei incisivi frontali con faccette in ceramica integrale
Riabilitazione sei incisivi frontali con faccette in ceramica integrale
Intervento realizzato da: dr Mora Luca
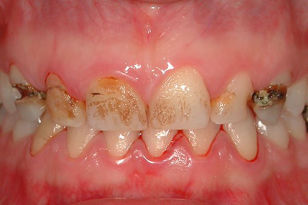
Caso iniziale-La paziente giunge alla nostra attenzione con un problema estetico molto importante. Gli elementi dentali risultano cariati con presenza di placca e tartaro
Dopo istruzione all’igiene orale e alcune sedute con l’igienista dentale la paziente può cominciare il piano di cura: vengono in primo luogo trattate le carie con delle otturazioni
Successivamente viene eseguito un piccolo intervento per migliorare la forma delle gengive
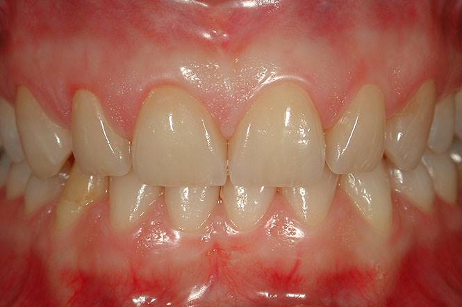
A questo punto possiamo proporre alla paziente delle faccette in ceramica integrale da canino a canino che permetteranno di migliorare la forma e il colore del sorriso, come un nuovo smalto, che renderà più resistenti i denti naturali
Le faccette sono cementate in modo adesivo, diventando una cosa sola con il dente, rendendo il risultato estetico molto gradevole
Il sorriso finale risulta armonico e naturale
precedente:
Riabilitazione incisivi centrali con corone in ceramica integrale
successivo:
Ricostruzione di denti usurati con ceramica integrale
Protesi