Premi INVIO per cercare o ESC per uscire

Media Hub
Un grande Team per una grande realtà

Riabilitazione protesica estetica con corone in disilicato di litio

Intervento realizzato da: Dott. Federico Belometti
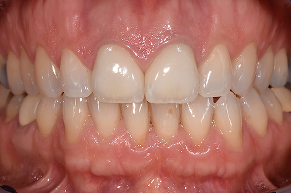
La paziente si presenta alla nostra osservazione per un’importante problematica estetica che interessa i due incisivi centrali.
Gli elementi dentali si presentano fortemente discromici con faccette in composito incongrue.