Premi INVIO per cercare o ESC per uscire

Media Hub
Un grande Team per una grande realtà

Ortodonzia intercettiva

Intervento realizzato da: Dott.ssa Paola Daina
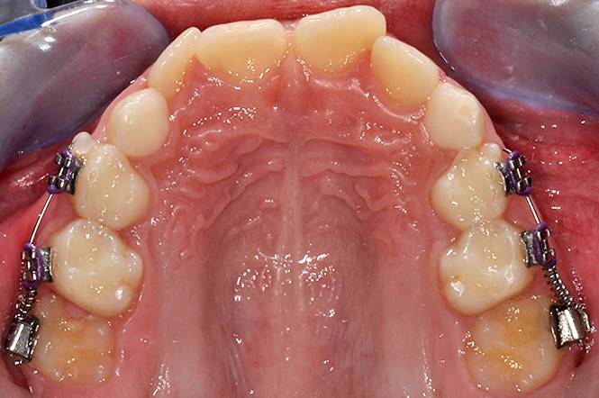
La piccola paziente è stata trattata in quanto i sesti superiori erano impossibilitati ad erompere naturalmente dato il precontatto con i quinti da latte (fig.1 – fig.3).
Non volendo procedere ad estrazioni precoci dei quinti da latte, che avrebbero indubbiamente condotto ad una perdita di spazio, la paziente è stata trattata con due sezionali (parte di apparecchio fisso multibrackets) (fig.2).
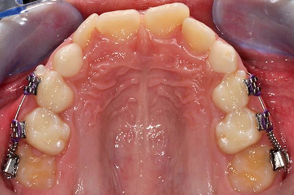
Dopo 9 mesi di trattamento è stato raggiunto il risultato (fig.4 e 5), si notino i sesti liberi di erompere ed i quinti da latte ancora presenti in arcata.