Premi INVIO per cercare o ESC per uscire

Media Hub
Un grande Team per una grande realtà

Ortodonzia fissa

Intervento realizzato da: Dott.ssa Paola Daina
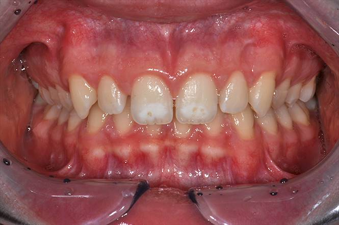
Giulio è stato trattato con apparecchio fisso multibrackets superiore ed inferiore per 24 mesi circa.
Gli obbiettivi del trattamento sono stati quelli di risolvere la II classe molare e canina dx e sn (fig. 3 e 4) ed il morso profondo (fig.2).
Si notino la perfetta I classe molare e canina dx e sn (fig. 7 e 8) e l’arcata a fine trattamento (fig. 6).
precedente: Ortodonzia fissa
successivo: Ortodonzia fissa