Il Centro
La Storia
Filosofia
Perchè sceglierci
La Clinica
Il Laboratorio
Corsi e convegni
Joe Brush
Progetti - Noi per voi
Primo soccorso odontoiatrico
Per i pazienti
Per le cliniche
Per le farmacie
Team
Famiglia Daina
Medici Odontoiatri
Altri professionisti
Igienisti Dentali
Odontotecnici
Assistenti dentali
Amministrazione
Segreteria
Manutenzione
Pulizie
Servizio clienti
Contattaci
Distributore IFarma
Come raggiungerci
Richiedi appuntamento
Lavora con noi
Servizi
Pedodonzia
Ortodonzia
Ortodonzia invisibile invisalign
Implantologia dentale
Implantologia dentale a carico immediato
Chirurgia ossea rigenerativa
Chirurgia orale
Anestesia totale
Sedazione cosciente
Parodontologia
Chirurgia parodontale
Odontoiatria estetica
Protesi dentali mobili
Protesi dentali fisse
Odontoiatria digitale
Igiene orale
Odontoiatria conservativa
Endodonzia
Gnatologia
Logopedia
Nutrizione e alimentazione
Indagini radiografiche digitali
Fisioterapia
Media Hub
+39 035 521049
Centro Daina
Il Centro
La Storia
Filosofia
Perchè sceglierci
La Clinica
Il Laboratorio
Corsi e convegni
Joe Brush
Progetti - Noi per voi
Primo soccorso odontoiatrico
Per i pazienti
Per le cliniche
Per le farmacie
Team
Famiglia Daina
Medici Odontoiatri
Altri professionisti
Igienisti Dentali
Odontotecnici
Assistenti dentali
Amministrazione
Segreteria
Manutenzione
Pulizie
Servizio clienti
Contattaci
Distributore IFarma
Come raggiungerci
Richiedi appuntamento
Lavora con noi
Servizi
Servizi
Pedodonzia
Ortodonzia
Ortodonzia invisibile invisalign
Implantologia dentale
Implantologia dentale a carico immediato
Chirurgia ossea rigenerativa
Chirurgia orale
Anestesia totale
Sedazione cosciente
Parodontologia
Chirurgia parodontale
Odontoiatria estetica
Protesi dentali mobili
Protesi dentali fisse
Odontoiatria digitale
Igiene orale
Odontoiatria conservativa
Endodonzia
Gnatologia
Logopedia
Nutrizione e alimentazione
Indagini radiografiche digitali
Fisioterapia
Media Hub
Premi
INVIO
per cercare o
ESC
per uscire
Media Hub
Un grande Team per una grande realtà
Home
Eventi
Area Medica
Media
Media Hub
>
Area Medica
>
Chirurgia Orale
>
Estrazione canino in inclusione ossea palatale
Estrazione canino in inclusione ossea palatale
Intervento realizzato da:
Stefano Daina
OPT pre-intervento
Visione occlusale pre-intervento
Incisione palatale a tutto spessore e scollamento del lembo
Corona del canino dopo aver eseguito osteotomia
Odontotomia dell’elemento 23 per permettere l’estrazione
Posizionamento di biomateriale BIOSS nel sito post-estrattivo
Radice del canino estratto
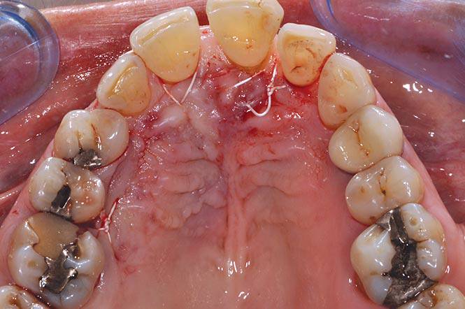
Sutura a fine intervento
precedente:
Avulsione dente del giudizio e rimozione cisti follicolare
successivo:
Estrazione canino in inclusione ossea vestibolare
Chirurgia Orale